Retracción de encías, Injerto de tejido conectivo
El injerto de tejido conectivo es el tratamiento de elección para las retracciones de las encías. Es un procedimiento quirúrgico de cirugía menor, es realizado por un especialista en periodoncia, quien primero debe realizar el diagnóstico clínico de que efectivamente es una recesión gingival.
![]() |
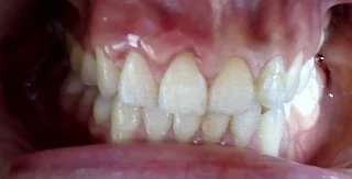
| Recesiones gingivales |
En otros aspectos la retracción de las encías o recesión gingival, es la secuela de la enfermedad periodontal. Debido a que en la periodontitis, destruye el hueso alrededor de los dientes, en este tipo de casos, al destruirse el hueso, la encía que es la alfombra del hueso que rodea los dientes, colapsa, y se empiezan a mostrar las raíces de los dientes y espacios entre los dientes. Esto es debido a la periodontitis que el paciente padece. Es por eso muy importante que un especialista en encías, realice un adecuado diagnóstico y la mejor opción de tratamiento en cada caso.
![]() |
| Injerto de tejido conectivo técnica de túnel |
La cirugía plástica periodontal tiene una gama de tratamientos quirúrgicos para cada caso en especial. Dependerá mucho del diagnóstico para elegir la mejor opción. En este caso compartiremos un caso de retracción gingival, debido a un cepillado extremo. Para estar seguro de que el diagnóstico es certero, debemos tomar una radiografía. Si vemos que el hueso alrededor de los dientes está intacto, las crestas óseas se mantienen altas alrededor de los dientes, tiene un excelente pronostico para este procedimiento.
A nuestra consulta nos visitó un paciente joven de 27 años con retracción de encía en las piezas 12 y 11. El tenía demasiada sensibilidad al frío, al ácido y al calor. Padecía de mucha molestia. Realizamos las evaluaciones respectivas y efectivamente era una recesión gingival con un excelente resultado debido a las características clínicas que presentaba. Era muy favorable su pronóstico.
![]() |
| Control de la 2da semana |
Aquí mostramos un caso atendido en nuestro consultorio y con control de seguimiento hasta las 2 semanas post operatorio.
Atte.
Dra. Gladys Altamirano




